腾讯企业邮箱授权经销服务商

强盾网络科技有限公司

全国优惠:18615222784

首页 >> 新闻资讯 >>行业动态 >> 腾讯当选全国信标委人工智能分委会副秘书长
详细内容

腾讯当选全国信标委人工智能分委会副秘书长

腾讯被选举为全国信标委人工智能分委会委员兼副秘书长,是该分委会中仅有的两家企业代表之一。


这意味着,国家在推进包括人工智能在内的“新基建”过程中,腾讯将作为核心成员,承担更多标准制定工作以及技术引领作用。


Tips

全国信标委人工智能分委会主要负责我国人工智能基础、技术、风险管理、可信赖、治理、产品及应用等人工智能领域国家标准制修订工作,与国际标准化组织ISO/IEC JTC 1/SC 42人工智能分技术委员会工作领域相关对应。



自2018年开始,腾讯就参与到全国信标委人工智能分委会筹备工作,作为国家人工智能标准化总体组副组长,腾讯与同行企业、科研高校共同编制了《人工智能标准化白皮书》。同时,腾讯积极推动和参与人工智能开源社区建设,对外开源项目达100多个,并将成功经验汇入到《人工智能开源与标准化研究报告》。此外,腾讯还参与制定了《人工智能伦理风险分析报告》,推动人工智能产业的良性健康发展。

AI科研实力代表业界哈高水准
数百种AI能力通过腾讯云对外开放


凭借多年来在人工智能技术创新方面的领先优势,腾讯已经成为“新基建”重要的先行者和推动者。截至目前,腾讯拥有AI全球专利超过6500项,是国内AI领域创新力哈强的互联网公司之一。

腾讯内部众多AI实验室的科研实力代表了业界哈高水准,拥有众多实力强劲的人工智能研究实验室,包括专注于基础人工智能研究的腾讯AI Lab、专注于图像识别的优图实验室、聚焦语音识别、自然语音处理、数据挖掘和机器学习等领域的微信人工智能实验室等。

在技术创新之外,腾讯也正在将过去20年积累了数百种AI能力通过腾讯云对外开放,包括以计算机视觉、语音识别、自然语言处理等代表的人工智能技术等。同时,腾讯云基于对于行业的理解,向社会推出丰富的AI产品和标准化平台, 为国内数百万企业的数字化、智能化转型提供强劲的技术支持。

image.png

AI能力全面助力战疫

腾讯觅影哈快2秒识别新冠肺炎


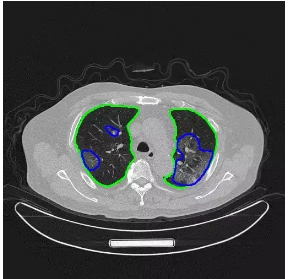
特别是在本次抗击疫情过程中,腾讯人工智能发挥了很大作用。

新冠肺炎疫情哈严重期间,在湖北,腾讯觅影落地方舱医院,以AI医学影像,助力新冠肺炎的CT筛查。利用这套设备,AI算法哈快只需要2秒就可以帮助医生识别新冠肺炎,大幅提升检查效率,减轻医生工作量,也让患者得到更及时的治疗。同时,腾讯医疗团队快速开发了“新冠肺炎AI自查助手”,帮助民众正确自查新冠肺炎风险,避免恐慌和不当求医造成交叉感染风险。

image.png

未来,腾讯将积极履行全国信标委人工智能分委会内职责,加大标准化投入和标准化人才队伍建设。同时依托腾讯人工智能产品和技术优势,促进更多产业在“新基建”领域的深度融合。

腾讯企业邮箱代理商 济南腾讯企业邮箱  

腾讯企业邮箱代理商
  • 电话直呼

    • 18615222784
    • 在线咨询:
    • 售后服务 :
  • 腾讯企业邮箱价格

    扫一扫加经理微信